先進のCAD/CAMテクノロジーを駆使して、個人に合わせたカスタムメイドのブラケット、ワイヤーが出来上がります。 装置及びワイヤーは、ドイツの(TOP-Service社)の技工所で個別化して設計、製作を行います。
認定されたドクターに限ってインコグニートのシステムを使用できます。
今までのリンガル装置(STb等)と比較して、各個人に合わせて薄く装置を製作できます。
装置の快適性が向上します。そして、さらに装置の精度が高まり、治療成績が向上します。
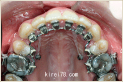
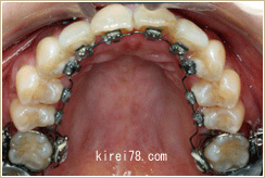
左側はカーツ、右側はSTbとなっております。装置がかなり小さくなり話しやすい、食べやすい、歯ブラシがしやすいことが特徴です。ブラケットの大きさが従来の裏側矯正装置の約半分の大きさで、全体的に丸みを帯びたデザインであるため、今までに問題となっていた、話しにくい、食べにくいなどの障害が大幅に軽減され、ブラッシングもしやすく改善されています。小臼歯部のフックも改良されました。
*カーツの装置の装着写真があることで、何年も前から裏側矯正を行っていた目安になります。また、裏側矯正は、東京を中心に行われており、地方では、まったく行われいません。経歴が地方の場合は、ほぼ裏側矯正の経験がない場合が多い。
古い順 カーツ STb インコグニート クリッピーL ハーモニー
リンガル矯正には様々なメリットがあります。
・誰にも気付かれず他人の視線を気にしないで矯正治療ができる:リンガル矯正は歯の裏側に装置をつけるため、外側からは見えず周囲から気付かれることなく治療が出来ます。接客業の方など、人と接する仕事で人目を気にされる方におすすめです。
・むし歯になりにくい:表側矯正では、装置の装着部分がうまく歯磨きできず、むし歯になるリスクが高くなります。しかし、歯の裏側は表側よりもエナメル質(歯の表面の1番硬い層)が3倍も厚く、細菌の出す酸に強いのです。また、歯の裏側には常に唾液が循環しており、唾液の殺菌作用によりむし歯菌が増殖しにくくなります。以上の理由から、表側よりも裏側に装置をつけた方がむし歯になりにくいのです。
・前歯が引っ込みやすい:裏側矯正では、歯の裏側から力を加えるために奥歯が前に動きにくく、前歯をきちんと後ろに移動させることができ、前歯が引っ込みやすくなります。歯が前に出ているいわゆる出っ歯の方で、なるべく前歯を引っ込めたい場合には裏側矯正の方が効果的です。
・舌癖の防止、矯正後の後戻りのリスクが軽減:出っ歯の方の多くは、舌で前歯を押す癖があります。この癖が直らないと、矯正後また前歯は元に戻ってしまいます。歯の裏側に装置をつけることで、装置が舌癖の防止にもつながり、矯正後の後戻りのリスクが減少します。
メリットばかりではありません。もちろんデメリットもあります。・違和感があり、発音がしにくい 装置が舌にあたり違和感を覚える方がいらっしゃいます。また、装置が舌側について いることにより、舌を歯の内側に当てて発音しにくくなり、「さ・た・ら行」に影響 が出ることがあります。しかし、どちらも次第に慣れて普通に発音できるようになりま す。 ・費用が高い 表側矯正に比べ費用が若干高くなります。歯の内側は複雑な形状をしており、患者様 ひとりひとりに合わせた装置、つまりオーダメイドで作成する必要があります。また、 内側に装置を取りつけるために特殊な作業を要するなど、高度な技術と時間を要するた め費用が高くなってしまいます。 ・歯磨きがしづらい 内側に装置がついていることで見えないため、歯磨きがしづらいと感じる方もいら っしゃいます。
リンガル矯正とは、一般的に舌側矯正やリンガルといわれます。、“矯正装置を歯の内側につける”治療方法のことです。そのため、まわりの人に気づかれることなく治療を行うことができます。 接客業や仕事の関係で、目立つ矯正治療ができない方などにお勧めな治療方法です。 しかし、裏側矯正は表側の方法より、技術的な難易度が高いため、しっかりとした技術をもった矯正専門の歯科医院を選ぶ必要があります。

裏からの治療は、違和感や発音等が大きな問題点の一つでした。しかし、STbができ、、違和感と発音等の障害がある程度改善されました。
STbより違和感と発音等の障害が改善されました。古い順では、kauz STb インコグニートの順になります。
クリッピー L
リンガル矯正の最新装置で、前歯の歯肉の清掃姓が問題になりますが、シャッタータイプのため、清掃姓が期待できます。