裏側矯正専門の歯医者 東京都中央区日本橋人形町HOME矯正装置矯正装置の流れ治療例料金各種装置アクセス矯正歯科FAQメール相談・お問い合わせ
お電話でのお問い合わせ 03-6661-9870
リンガル矯正・矯正専門 東京・日本橋

人形町駅徒歩1分 水天宮前駅徒歩6分
馬喰横山駅徒歩6分 浜町駅徒歩7分
〒103-0012
東京都中央区日本橋堀留町2-1-15 2F
03-6661-9870

写メール無料相談!
携帯版WEBサイトもあります。
東京都中央区日本橋
矯正歯科専門クリニック

フル、ハーフリンガル・舌側装置
リンガル矯正で健康できれいな歯並びへ結婚式を控えているかたは裏側矯正だと結婚式の写真撮影でも装置を一時的に外さなくてすみます。治療経過6カ月、12か月の歯並びの変化の様子は、見えない裏側矯正ブログで掲載中!

  • 日本橋人形町ジェム矯正歯科
  • 子供の矯正専門 人形町1分
  • 求人 矯正歯科専門

裏側矯正専門 東京

お電話でのお問い合わせ 03-6661-9870初診 WEB予約(歯並び相談無料)

症例のご紹介

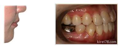
症例1)上下顎前突

 ▼ 治療前

上下の前歯が前に出ていた歯並び、そして口元がもっこり(さるぽい)していました。

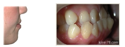
 ▼ 治療後

上下の前歯をさげることにより、口元がかわりフェイスラインがすっきりし、きれいになりました。

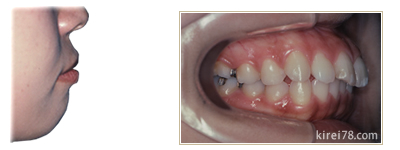
症例2)上顎前突

 ▼ 治療前

上の前歯が前に出ている 出っ歯

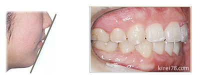
 ▼ 治療後

よりきれいな口元フェイスラインになりました。

症例3)下顎前突

 ▼ 治療前

下の歯が上の歯より前にある 反対咬合 受け口のため、前歯で食べにくいとのことでした。

上下の歯の傾きがかわることで、横から見たときの口元の感じも変わってきます。上の口唇がへこんでいましたが、ふっくらして

自然な感じになりました。

 ▼ 治療後

矯正治療によりフェイスラインがきれいになりました。

症例4)叢生

 ▼ 治療前 → 治療後

歯がでこぼこしている。 上の前から2番目の歯が奥に入りこんでしまっています。笑った時に、引っ込んでいる歯のところが、歯がないように見えたりもします。矯正治療によって、きれいに並びました。

症例5)開咬

 ▼ 治療前 → 治療後

前歯がかみ合わない。                  きれいに並びました。

メール相談(無料)  初診相談 WEB予約(無料)
このページの先頭へ戻る
Copyright 2010 c gem orthodontics./歯列矯正/歯並び All rights Reserved.